안녕하세요 너무어린 7개월 영아환자를
중국에서 한국으로 이송하였습니다.

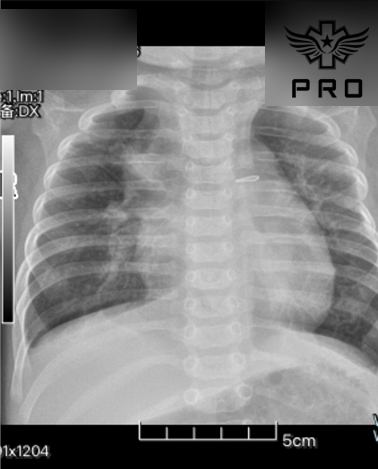
청생증과 심한 호흡곤란으로
벼우언에 입원 했는데요,
초음파 검사에서 난원공단락, 삼천판역류, 우심실 우심방 확장 소견이 있었습니다.

난원공은 일반적으로 태아때 존재하는 작은 구멍인데요
출생 후에 자연히 닫혀야 정상이지만
때론 완전히 닫히지 않아 우좌 단락이 발생할 수 있따고 해요

이로인해 우심실기능이상이나 삼천판역류로 인하여 우심방 압력이 높아지며
청색증이 나타날 수도 있구요, 이를 해결하기위해서는
난원공을 완전히 막아주는 수술이 시행되기도 해요

정확한 진단과 환자 상태에 대해 면밀하게 조사하고 최적의 치료방법의 선택이
가장 중요한 선택이라고 합니다.
입원 당시 고유량 산소가 필요하였으며
약물 증량후 상태도 점점 안정되어 청색증이 없어졌고
저유량 산소로 포화도도 잘 측정되었어요

현지 의료진ㄴ들이 공항까지 동행하여 도움 주셨으며
응급상황을 대비하여 퇴원약도 충분히 받아
기내에서도 산소를 유지하며 이송하였답니다.

아이가 어찌나 순한지 울거나 찡얼대는게 많지않았어요
한국 도착하여 원래 다니던 아산병원 어린이 응급실로 안전하게 인계해드렸답니다.